兒童早期矯正(MRC)
兒童早期矯正功能性齒顎矯正(MRC)

六到七歲是小朋友開始換牙的年紀,在這個時期,我們在診間最常被家長問到的問題就是『醫生,他牙齒這麼亂, 是因為太晚拔牙嗎? 還是牙齒太大顆?』其實, 這些都不是主因,追根究底,主要原因還是來自於容納所有恆牙的地基(牙床骨骼大小)出了問題,很多從出生開始就有的不良習慣,如吃奶嘴. 吸手指頭, 過敏而長期張嘴用口呼吸等,都會漸漸讓小朋友的口腔顎骨發育受限並長成不正常的型態,自然地上面的牙齒就跟著也排列不整齊甚至沒位置長

目前最普遍的治療方式是透過配戴肌肉功能訓練器(市面上目前常見品牌為MRC美優適肌肉功能訓練器)及搭配醫師的一系列肌肉功能訓練, 必要時再加上擴張器等輔助裝置,來幫助小朋友的顎骨恢復正常大小及咬合,同時改善口呼吸等不良習慣。與一般矯正不同的是不需要等到換牙結束才能開始療程,通常六歲左右就已經是治療的黃金時期,而且配戴舒適方便, 無一般矯正的疼痛感! 不過還是建議先讓醫師評估是否為適合案例喔!
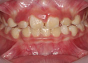
Case1
01 治療前
02 治療後
Case2
01 治療前
02 治療後