兒童牙科
0-3歲的孩子通常屬於懵懂型,所以通常都不太願意看診,或是專注力非常短。一般例行性的檢查,我們常常在簡潔的時間內,完成有效的檢查跟治療。若真的已經需要齲齒治療,常常需要以束縛椅或全身麻醉的方式,來幫忙孩子完成治療。
3歲以上的孩子,開始有理解能力,對於願意聽從溝通的孩子,醫生會有一些行為誘導的方式,例如:用孩子熟識的語詞介紹牙科器材,讓孩子體驗陌生的牙科器材,減少對牙科看診的恐懼。
對於年紀很小和不願意配合看診的孩子,若怕齲齒造成疼痛甚至蜂窩性組織炎,我們會使用束縛椅的看診方式,讓孩子在安全被保護的情況下,快速有效地完成該做的治療。我常見到一些脾氣很拗的大孩子,常以哭鬧的方式拒絕就診治療,但我們以束縛椅幫助他完成所有治療後,他反而增加了看診的信心度,因為他了解牙科治療其實不像他想像中的那麼恐怖。
不同的孩子,有不同的個性,醫師會以現階段孩子的情況,與家長討論最適合的就診方式幫助孩子完成治療
臼齒的守護者-溝隙封填劑

什麼是溝隙封填劑?
健康的臼齒在咬合面上有許多很深的小窩及小裂溝,食物的殘渣及幼兒的奶垢很容易積存在裡面,成為蛀牙。溝隙封填劑就是用來封填臼齒裂溝的一種液態樹脂材料,塗布封填劑後的牙齒,其咬合面不僅可以減少食物的淤積,也能夠讓口腔清潔的工作更容易進行。經過15年的臨床研究證實,齒溝封填可以有效降低咬合面的齲齒率達7.5倍,而對於剛萌發的牙齒,尤其是恆牙第一大臼齒,預防效果特別顯著。溝隙封填劑治療過程簡單迅速,並不會造成小朋友的不舒服。
溝隙封填劑能維持多久?
一次正確的“臼齒溝隙封填劑”塗佈後,至少可以在口腔內維持2-3年(甚至有達到15年之久的臨床報告),因此小孩可因而被保護渡過最容易蛀牙的幾年。如果小孩有好的口腔衛生且避免吃過酸的東西,溝隙封填劑可以維持更久。
哪些牙齒適合做溝隙封填?
政府補助滿七歲的小朋友,免費進行恆牙的第一大臼齒溝隙封填的施作。另外,乳牙的臼齒及恆牙的小臼齒咬合面也常存在很深的溝隙,這些牙齒也可以自費做溝隙封填預防蛀牙。
不鏽鋼牙套
乳牙蛀牙不用管?真的需要抽神經嗎?
當小朋友從小蛀牙變大蛀牙,然後蛀到神經,運氣好的話就是「慢性發炎」,也許孩子不會感到痛,但是細菌不斷的往骨頭裡蔓延,進而影響正在骨頭中發育的成人牙牙胚,運氣比較不好的話,遇到孩子抵抗力弱時,不是牙齦長膿包,就是嚴重到整個臉腫起來,變成「蜂窩性組織炎」。所以有蛀牙一定要早期治療!並且乳牙的神經系統和成人牙的神經系統是分開的,所以就算乳牙抽神經了,成人牙長出來一樣會有活性的!
為什麼要做小鋼牙?
乳牙會蛀到牙髓腔表示這位小朋友的齲齒指數較高或是進行迅速,在齒髓治療後如果只做一般的填補,很容易又會再蛀進去,甚至容易因為齒質結構差,而整顆牙齒咬到硬物崩壞,這樣的乳牙大多難逃被拔除的命運。乳牙本身即是一種自然,理想的空間維持器,乳牙牙冠治療就是為了保護因齒髓治療而強度減弱的牙齒,希望乳牙能維持到自然換牙時才脫落。乳牙的臼齒要到九歲、十歲才會換牙,因此當乳臼齒在早期就蛀太大而需要抽神經時,醫師會在抽完神經後建議您為小朋友做不鏽鋼牙套,不但可以恢復牙齒的咀嚼功能,還能避免牙齒咬硬物時崩塌。
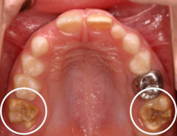
治療前
治療後

小鋼牙怎麼換牙?
因為小鋼牙是黏在乳牙上面,所以換牙時小鋼牙會連同原本牙冠一起脫落。
空間維持器
『乳牙不是會換嗎?』、『不好補…把它拔掉就好啦!』
整個換牙的過程,平均從幼稚園大班下顎門牙開始脫落到小學五、六年級牙換完為止,共長達六、七年的替換期。每顆恆齒替換乳齒都有一定時間性,若過早拔除乳齒,或是鄰界面嚴重齲齒,後方牙齒失去依靠往前傾倒,佔去了原恆齒萌發所需的空間,造成恆齒異位萌發甚至長不出來,最後則需要以矯正治療將後方的牙齒恢復至原來的位置。
乳牙過早脫落,將導致後面牙齒往空缺處傾斜
造成接下來要生長的恆齒阻生
造成恆齒異位生長及齒列擁擠
空間維持器的功能?
乳牙過早喪失會使得相鄰的牙齒往這個空間傾倒,使得將來恆牙要萌發的位子被佔據,造成恆牙無法長在好的位子並造成齒列擁擠,如果這種情況不及早預防,將來就有可能要做矯正。為了避免上述情形發生,當乳牙過早喪失時就必須要做空間維持器,它是由一些金屬線金屬環及樹脂組合而成,目的在維持住將來恆牙的萌發空間預防鄰牙傾倒。
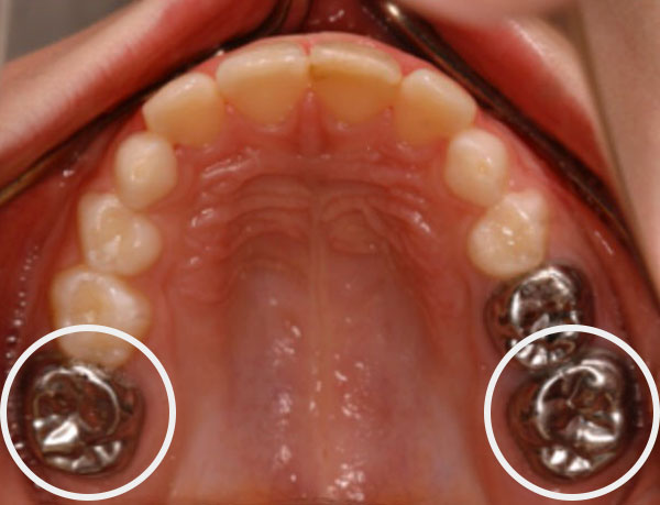
空間維持器的種類
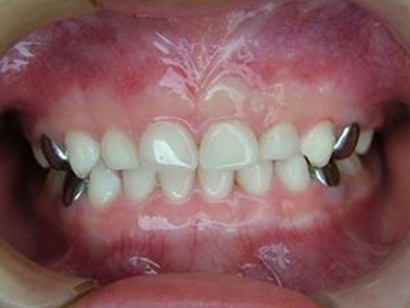
單側空間維持器
上顎雙側空間維持器
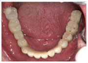
下顎雙側空間維持器
佩戴空間維持器的注意事項
空間維持器配戴時,可以正常清潔牙齒,也需要使用牙線。在良好的清潔情
形下,並不會增加齲齒的發生率。每3-6 個月要定期追蹤,以確認黏著劑是否鬆脫或何時需要移除。
乳牙門牙牙套
當乳門牙蛀牙範圍較大或根管治療過, 齒質剩餘過少,很難用一般填補方式修復外型(常常只能將牙齒補得短短的,且填補物很容易鬆脫) ,這時只能靠乳牙門牙牙套來將外型修復, 不但能恢復咀嚼語發音功能,避免二次蛀牙, 漂亮的門面也較能建立小朋友的自信心。
治療前
治療後