假牙全口重建
台中全口重建|假牙贋復-為您找回自信潔白笑容
現代人相對重視口腔健康與牙齒美觀,牙齒的形狀、顏色和排列等皆會改變一個人笑起來的樣貌,進而影響整個人帶給別人的感受。台中全口重建即是「假牙贋復」,除了重視牙齒本身的使用功能外,同時亦能使牙齒變得自然、美觀。台中全口重建是依據個人的牙齒與口腔狀況,為您訂製客製化的重建治療計畫,讓您找回健康又美麗的寶貴牙齒!
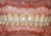
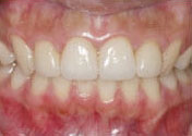
一般前牙美學重建
全瓷冠 (all ceramic crowns)
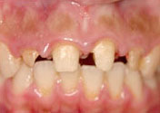
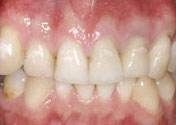
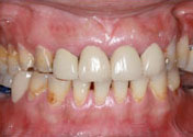
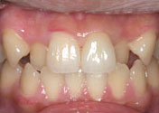
01 治療前
02 治療後
03 治療後
玻璃纖維冠心根柱 (glass fiber post and core)
全瓷冠 (all ceramic crowns)
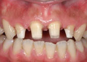
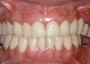
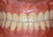
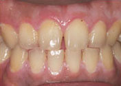
01 治療前
02 治療前
貼片治療 (veneer)
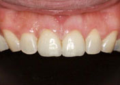
01 治療前
02 治療前
免責聲明:成效因人而異,必須跟從專業醫師指引
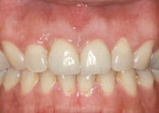
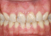
複雜前牙美學重建
- 氧化鋯全瓷冠心根柱 (Cosmo post and core)
- 玻璃纖維冠心根柱 (glass fiber post and core)
- 牙冠增長術
- 齒槽骨修型術
- 全瓷冠 (all ceramic crowns)


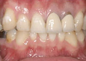
01 治療前
02 治療後
01 治療前
02 治療後
治療後
免責聲明:成效因人而異,必須跟從專業醫師指引
顯微根管與前牙美學
- 顯微根管治療
- 玻璃纖維冠心根柱 (glass fiber post and core)
- 全瓷冠 (all ceramic crowns)





免責聲明:成效因人而異,必須跟從專業醫師指引
全口氧化鋯全瓷冠精密重建
- CASE 1




- CASE 2
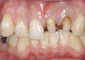
01 治療前
02 治療後
01 治療前
02 治療後
01 治療前
02 治療後